Slightly used Schick AE S2 Grade A Sensor, size 2, for sale. Thoroughly tested with 36 X-rays for excellent functionality.
Pre-Owned Schick AE S2 Sensor SN 18002043
Price range: $4,500.00 through $5,200.00
1 in stock
Description
Slightly Pre-Owned Schick AE S2 Grade A Sensor SN 18002043
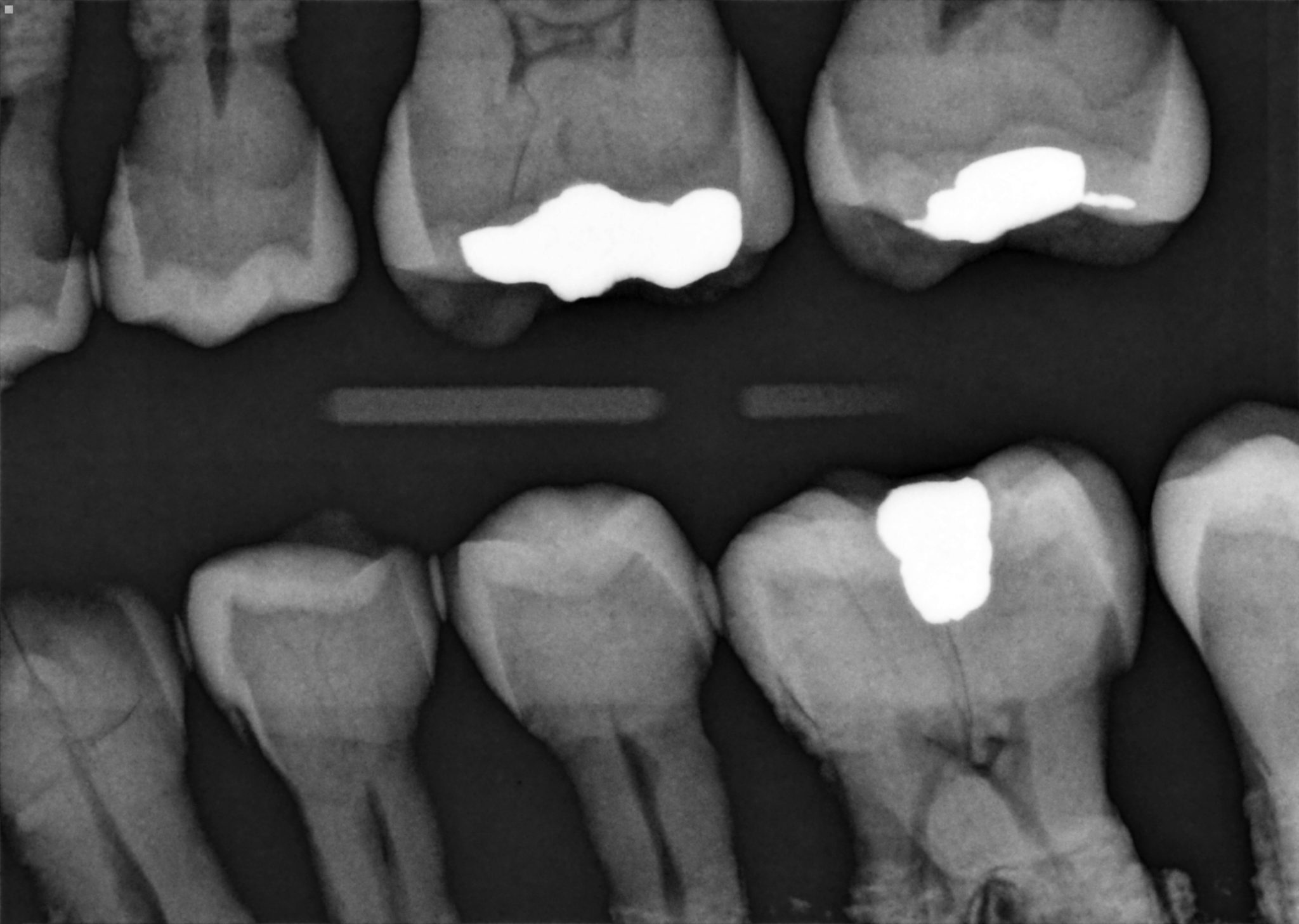
Please View The Xrays Attached to This Sensor Before Purchasing, Pre-Owned Sensors May Have Imperfections In The Image Such As A Line Or A Ghost That Will Be Visible in All Xrays, Please Make Sure the Image Quality Meets Your Standards
Sodium Dental Pre-Owned Schickย Sensors are repaired in following manner
-Sensor cable is replaced with brand new custom sensor cable. Cable uses slightly thicker gauge wire to insure greater strength while still being small enough to achieve superior flexibility
-Housing is re sealed and fully potted to insure no moisture contact with sensor and to inhibit future moisture
-Sensor is tested by taking 36 X-rays on Phantom to insure sensor functionality
-USB connector has been replaced with new
-Pre-Owned Sensors come with a 90 Day Warranty or an optional 1 Year Warranty
Pre-Owned sensors may have artifacts in the image, please review the images provided that are example images taken from the sensor prior to its sale. Tube heads or choice of exposure will affect the contrast, brightness and clarity of the image. Sodium Dental is not responsible for this. Any return of product will be subject to a 15% restocking fee and no refund of shipping.
- OLYMPUS DIGITAL CAMERA
- OLYMPUS DIGITAL CAMERA
- Schick 33 24004331
- Schick 33 24004331
Additional information
| Weight | 2 lbs |
|---|---|
| Dimensions | 4 × 3 × 1 in |
| Warranty | 90 Day Warranty, 1 Year Warranty |
Only logged in customers who have purchased this product may leave a review.















Reviews
There are no reviews yet.