Pre-Owned Instrumentarium Snapshot size 1 sensor SN IB150563
Price range: $3,200.00 through $3,900.00
1 in stock
Description
Pre-Owned Instrumentarium Snapshot size 1 sensor SN IB150563
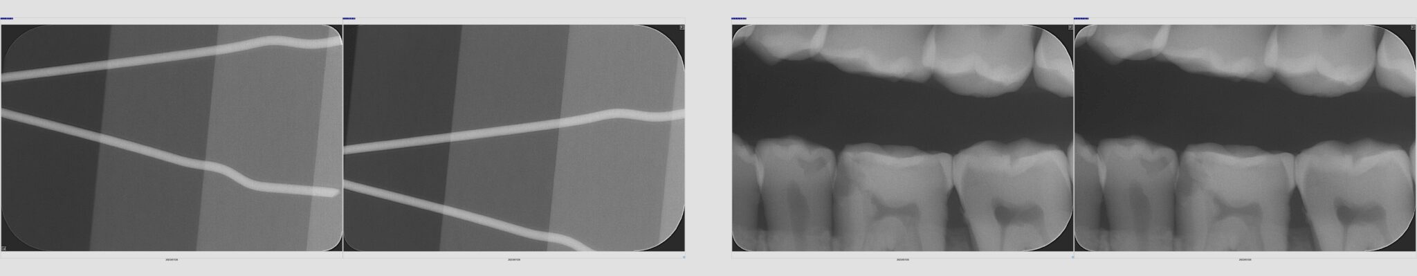
Please view the x-rays attached to this sensor before purchasing. Pre-Owned sensors may have imperfections in the image e.g. line, ghost image, dead pixels, or noise. Please ensure the image quality meets your standards.
-Sensor is tested by taking 36 X-rays on a Phantom to ensure sensor functionality
-Pre-Owned Sensors come with a 90 Day Warranty at the base price, or an optional 1 Year Warranty
Pre-Owned sensors may have artifacts in the image, please review the example images provided that were taken from the sensor prior to its sale. Tube heads or choice of exposure will affect the contrast, brightness and clarity of the image. Sodium Dental is not responsible for this. Any return of product will be subject to a 15% restocking fee and no refund of shipping.
Additional information
| Weight | 1 lbs |
|---|---|
| Dimensions | 4 × 3 × 1 in |
| Warranty | 90 Day Warranty, 1 Year Warranty |
Only logged in customers who have purchased this product may leave a review.














Reviews
There are no reviews yet.