Week 1 – Digital X-Ray Review – The Good The Bad And The Ugly – Part 1
-A device with either a CCD or CMOS sensor (just like in your digital camera except bigger) and then a coding or solid filter that converts X-rays to light that the sensor can read. Some medical digital X-Ray uses a specially charged plate that can read the X-ray directly without conversion. I do not believe any company is currently using this technology in dental.
I don’t intend to go into great technical detail about the sensors instead I will be discussing some important features of the different manufacturers. Hopefully arming you with some information that will be helpful in your buying or re-purchasing decisions.
If you would like a very technical discussion on digital X-Ray I suggest you refer to
http://en.wikipedia.org/wiki/Digital_radiography
First of all lets discuss options. There are lots and lots of options. Through selling and servicing Digital X-Ray and repairing many other manufacturers products I have come by quite a bit of “insider knowledge” about dental products, but sometimes I still feel terribly confused. Not because the technology is complicated but because the way it is sold is so complicated. Some sensors only work with specific imaging software, some imaging software only works with specific sensors. Why can we not just have a standard software protocol that all sensors use and all imaging software use.
The closest you will come to this in dental is Apteryx Imaging, I suggest taking a look through its sensor driver section. You’ll see just about every product out there is on the list, minus Dexis, The most expensive and fattest (As in thick, not cool or good) sensor on the market.
http://www.apteryxware.com/dental/downloads/xva3_5/xv-imaging.html
So now lets figure out what merits a doctor most wants in a sensor (in no particular order).
-Good Image Quality – Part 1
-Reliability – Part 2
-Price – Part 3
-Functionality – Part 4
Now lets get a list in here, I am sure I will miss some sensors in this list, but I’ll do my best.
-Eva TM by Dent-X TM (AFP Imaging)
-SuniRay2 TM-Suni TM Corporation (Orange Dental)
-Dixi 3 TM-Planmeca TM
-Dexis Platinum TM-Dexis TM
-CDR Elite TM-Schick TM
-Kodak TM RVG6100 TM – Kodak(Owned By Carestream Now)
-QuickRay TM Sensors
I will now give my opinion on each of these products in each of these categories.
Good Image Quality
I believe this category has been over complicated on purpose. Why do we need to know all of these things about sensors? Why can’t the manufacturers just put up full resolution and undoctored or filtered images on their site. Then you could simply download the images and see which one you liked. Sadly while trying to collect images for this little blog I found that no one seems to post any images to their website in full resolution. So here goes with what I found.
SuniRay2
-CMOS Sensor
-No Idea on Line Pairs, It is not advertised.
The image quality is pretty good and they claim greater durability.
Eva Sensor
-CMOS Sensor
-16 lp/mm
DIXI 3-Planmeca
-CCD Sensor
-26 LP/mm
No Image I could Find
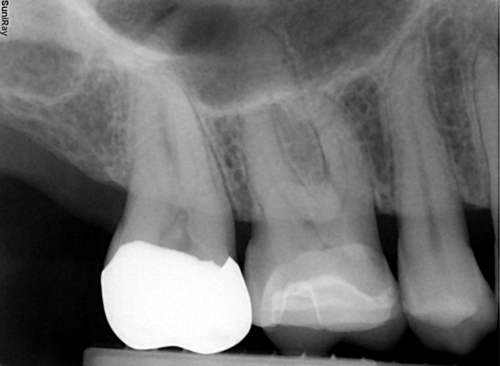
Dexis Platinum
-CMOS Sensor
-No Advertised LP/mm
CDR Elite-Schick
Hard to find information on the sensor
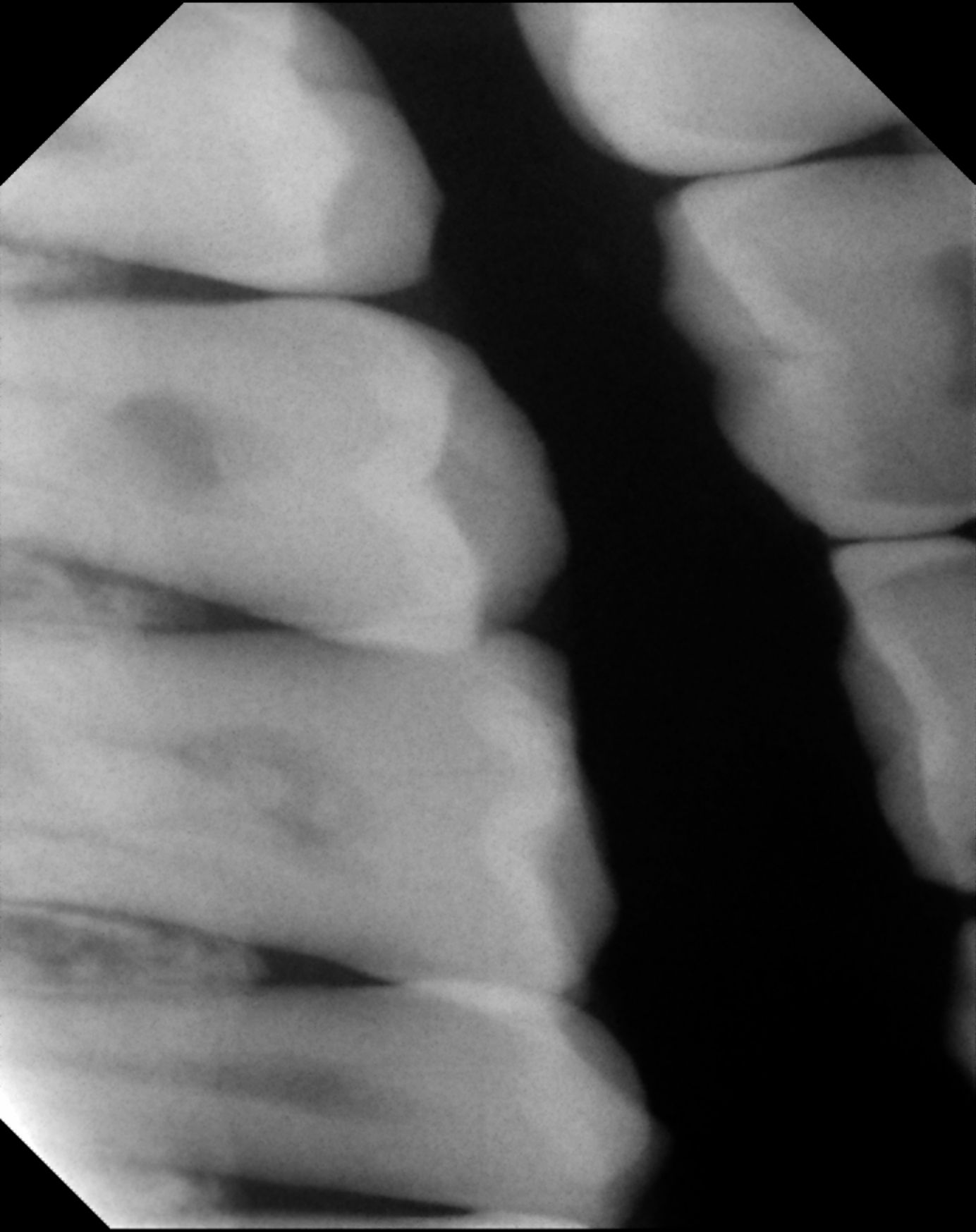
Kodak RVG6100
-20 lp/mm
Gendex Sensor
QuickRay Sensor Image
Legal Stuff
All Trademarks including Schick, Dexis, Kodak, Eva and any others are the property of their respective owners. They are not affiliated with Sodium Systems LLC
Quickray is a trademark of Denterprise International and we are a reseller of Denterprise International






Leave A Comment
You must be logged in to post a comment.